「あまり危険性が認識されていない病気:睡眠時無呼吸症候群について」
ダウンロードは
170329別役先生
講師紹介
別役 徹生 先生
医療法人社団 玉栄会 東京天使病院 院長
演題
「あまり危険性が認知されていない病気:睡眠時無呼吸症候群について」
日時
平成29年3月29日(18:30~20:00)
会場
日本生命八王子ビル 研修室
睡眠時無呼吸はなぜ起こるか

人は通常上気道を広げる筋肉が緊張していて、気道を広げて、呼吸している。眠りが深くなるとこの緊張が解けて、気道が狭くなるとともに、舌の根元がのど側に下がって食道と気道とを切り替えている軟口蓋を塞ぎ、気道が狭くなり、いびきが生じ、これがはなはだしい場合、気道が閉じて無呼吸となる。
通常誰でも1時間に数回以内の無呼吸となるがこれは正常。睡眠時無呼吸症候群と言われるのは、これが十数回、重症では数十回に及ぶ。
しかし、息が出来なくなることで、眠りが妨げられ、眠りが浅くなることで、気道を広げる筋肉が緊張し、息が出来るようになるので、窒息して死ぬことはない。
無呼吸の起きやすい人は、
- 肥満
- 下あごが小さく口の中に舌の収納空間が狭い人
- 舌や舌の付け根が大きく、結果的に口の中に舌の収納空間が狭い人
日本人でも縄文人系の、彫が深くがっちりしたあごの人は起こしにくく、弥生人系の面長であごの細い人は肥満でなくとも起こしやすい。

健康な睡眠では、睡眠直後に深い睡眠が現れ、脳がしっかりと休まり、明け方近くに、夢を見るREM睡眠が現れる。

睡眠時無呼吸の場合、眠りが深くなると、無呼吸となる。深く眠れないので、朝目が覚めても、すっきりと疲れが取れた感じがしない。
睡眠時無呼吸症候群では、交通事故を引き起こす可能性が高まる。

睡眠時無呼吸症候群では、合併症だけではなく、眠気が引き起こす事故も恐ろしい。交通事故を起こす確率は健康な人の2倍から7倍、飲酒運転に匹敵する。
睡眠時無呼吸と心血管疾患の合併症

睡眠時無呼吸症候群は、通常100名のうち5名ぐらい:5%の方に症状がある。
しかし、高血圧の方の30%、心不全の方の76%(以下上記グラフ参照)が睡眠時無呼吸症候群の症状がある。つまり、睡眠時無呼吸症候群が各種心臓の合併症を引き起こす。

睡眠時無呼吸時は、上気道が閉まって息が出来ない状態で、無理やり息を吸おうとして胸腔を広げるので、胸腔内が陰圧になり、心臓にも陰圧がかかる。これは最大-80mmHGにもなる。この時、心臓は通常血圧100mmHgを発生させようと収縮するので、結果心臓は180mmHGの力で血液を押し出さなければならなくなる。この負担が十数年かかり続けることで、心臓の筋肉が弱り、心臓の弁が弱る。
睡眠時無呼吸と高血圧
健康な人は、通常昼間の血圧より、夜間睡眠時の血圧が10~20%低い。
しかし、睡眠時無呼吸の場合、呼吸が出来ないことで、結果的に、無呼吸に関連して心臓の心拍が速くなり、睡眠時に異常に血圧が上昇する。これが血管の内壁を傷つけ、後で述べる動脈硬化に発展する。
睡眠時無呼吸と心臓細動の発症

Gami AS et al:JACC49:567-71,2007
無呼吸(OSAS)と心房細動の発症(65歳以下)
睡眠時無呼吸では、心筋がけいれんし、心臓が本来の正しい動きが出来なくなる心房細動を発症しやすくなる。最悪心臓内に血液が滞留し、血液の固まりが出来て、それが脳血管を塞ぎ、重症の脳梗塞を発症する。
睡眠時無呼吸と脳卒中
睡眠時無呼吸による動脈硬化が頸動脈に発症することで脳梗塞を誘発する、脳内の血管がもろくなることで血管が破れて脳出血を起こす危険性が高まる。

1時間当たりの無呼吸回数(AHI)が高いことが、脳卒中発症のリスクを高める

睡眠時に鼻から空気を送り込み睡眠時無呼吸を起こさせなくする治療(CPAP)を行うことで、脳卒中の再発を予防できる。
睡眠時無呼吸と認知症
睡眠時無呼吸は、血液の中の酸素が少なくなる。脳細胞は酸素が少なくなることによりダメージを受ける。
- 前頭前葉 創造性・意識
- 側坐核 運動・快感
- 視床下部 欲望
- 扁桃体 攻撃性(怒り・警戒・恐れ・感情
- 海馬 記憶


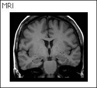
正常 アルツハイマー型認知症
アルツハイマー型認知症:全体的に脳が痩せて特に短期的記憶をつかさどる海馬が小さくなっている
睡眠時無呼吸を放置すると、認知症の発症を促進する。睡眠時無呼吸をCPAPにより治療することは認知症予防に効果がある。
睡眠時無呼吸はどのように見つけるか
睡眠時無呼吸の代表的な症状は、
- いびき
- 睡眠時呼吸が止まっていることを家族が発見
- 日中の眠気
- 起床時の頭痛・頭重感
- 熟睡感が無い
- 夜間、苦しくて目を覚ます・自分のいびきで目が覚める
- 夜間何回もトイレに行く:特に4・5回以上(心臓に血液がたまるとホルモンが出て尿を増やし血液の量を少なくする)
- 胸やけ(胸腔が負圧になるので、胃液が食道に逆流する)
- 寝相が悪い(息苦しいので睡眠中にもがく)
睡眠時無呼吸の治療
- 肥満で発症している人は、減量する:但し、あまり減量に成功しないので、CPAPと併用する
- 小児で扁桃腺・アデノイドが大きくて発症している場合は、扁桃・アデノイドの治療をする。

- 歯科装置:睡眠時に専用のマウスピースで下あごを数㎜前に引き出すことで、気道が潰れるのを防止する。
- CPAP治療:病院で、無呼吸を抑える圧力を調整し、自宅で睡眠時に用いる。機内のメモリーに睡眠時の呼吸の状況が記録されるので、経過の診療を確実。



健常者 睡眠時無呼吸 CPAP治療
睡眠時無呼吸は、命にかかわる病気の大きな原因になるので、ぜひ受診・治療を受けてください。
参加者の声
自分には無関係と思ったが、症状に思い当たる。今後気を付けたい。
睡眠時無呼吸症を知らない人が結構いると思う、この病気が大病につながる。非常に重要、減量に取り組みたい。
水分の代謝・心臓疾患が無呼吸と関係すると知らなかった。原料の効果が高いことも理解できた。良い話を聞いた。



TOP

